Профилактика перенапряжения глазных мышц
Лучший способ избежать перенапряжения глазных мышц — это внимательно относиться к профилактике зрительных нарушений:
Если Ваша работа связана с компьютером, чтением мелкого шрифта или другими видами зрительной нагрузки, важно минимум два раза в час делать перерывы в работе, во время которых просто смотреть в окно, выполнять гимнастику для зрительных органов или сидеть с закрытыми глазами, давая им отдых

- Уменьшить напряжение глазных мышц помогает правильная организация рабочего места и освещения. Рабочий стол или парта ребенка должны быть хорошо освещены, компьютер должен находиться на расстоянии не менее 50 см от глаз.
- Если офтальмолог диагностировал близорукость или другое нарушение рефракции и назначил ношение очков или контактных линз, то следует обязательно использовать средства оптической коррекции. Они обеспечат необходимую остроту зрения без перенапряжения глазных мышц. Сегодня существует большой выбор контактной оптики с отличными характеристиками (например, ACUVUE Oasys, Dailies Total 1, Proclear 1 Day). Современные линзы комфортны для глаз, обеспечивают достаточный уровень увлажненности и поступления питательных веществ к роговице. Поэтому если очки Вам не подходят по той или иной причине, правильно подобранные контактные линзы помогут улучшить зрение, предотвратить спазм аккомодации, остановить прогрессирование миопии.
- По рекомендации врача можно в профилактических целях применять глазные капли от усталости глаз, которые увлажняют поверхность зрительных органов, обеспечивают поступление полезных веществ, способствуют сужению сосудов и снятию отечности.
- Правильное питание, богатое витаминами и микроэлементами, продолжительные прогулки на свежем воздухе, занятия спортом — эти профилактические меры также могут помочь устранить зрительное напряжение, расслабить глазные мышцы и сохранить зрение.

В современной офтальмологии существует много способов, как лекарственных, так и немедикаментозных, снять напряжение с глаз, остановить прогрессирование близорукости и решить другие зрительные проблемы.
Можно ли вместо капель делать расслабляющие упражнения для мышц глаз?
Некоторые люди со спазмом аккомодации боятся применять капли для глаз, расслабляющие мышцы, считая их токсичными и небезопасными для зрения. В качестве альтернативы медикаментозным препаратам они предпочитают выполнять специальную гимнастику для глаз, которая помогает снимать напряжение с мышц. Насколько оправдана подобная альтернатива?Офтальмологи говорят о том, что при регулярном перенапряжении глазных аккомодационных мышц гимнастика действительно может быть полезной. Но, как правило, она применяется в составе комплексной терапии или используется в качестве профилактической меры. Кроме того, существует много комплексов упражнений, которые направлены на расслабление определенных глазных мышц. Соответственно, разным пациентам требуются различные расслабляющие комплексы. Методики для расслабления глаз разрабатывали многие ученые — например, широко известны комплексы упражнений Бейтса, Корбет, Агарвала, Уиндолфа, Жданова, Норбекова. Подобрать оптимальную методику, которая поможет снять напряжение с глаз, поможет врач. Существует также перечень противопоказаний, когда нежелательно выполнять глазную гимнастику. Например, при отслойке и разрыве сетчатой оболочки, при инфекционных и воспалительных заболеваниях глаз, в период послеоперационной реабилитации.

Но специалисты отмечают, что в ряде случаев без использования специальных глазных капель не обойтись, поэтому гимнастика с медикаментами применяются комплексно.
Почему краснеют глаза
Покраснение глаз
Под покраснением глаз обычно понимают покраснение склеры – белковой оболочки глаза. Склера содержит значительное количество капилляров – мельчайших кровеносных сосудов. Обычно они незаметны, но под воздействием ряда обстоятельств кровеносные сосуды склеры могут расширяться, стенки сосудов при расширении растягиваются, и тогда мы их видим, вернее, видим наполняющую сосуды кровь. Кровь красного цвета, поэтому глаза выглядят покрасневшими.
В большинстве случаев расширение сосудов склеры вызвано резким усилением кровообращения. Так организм отвечает на достаточно широкий круг проблем. Кровь – это внутренний транспорт, с помощью которого доставляются питательные вещества, удаляются токсины. Приток крови способствует повышению местной иммунной защиты, ускоряет заживление. Во многих случаях покраснение глаз довольно быстро проходит; это означает, что кровоснабжение склеры нормализовалось. Если покраснение сохраняется длительное время, то, очевидно, проблема, которая его вызвала, достаточно серьёзна.
Капли для глаз, расслабляющие глазные мышцы
Существует большой перечень препаратов, которые оказывают расслабляющее действие на цилиарную, круговую и другие мышцы глаз. Рассмотрим несколько видов капель, применяемых в офтальмологии.
«Атропин»

Для снятия напряжения с глазных мышц, а также для медикаментозного мидриаза (искусственного расширения зрачка), могут применяться капли «Атропин». По принципу действия они являются непрямыми мидриатиками и способствуют расслаблению круговой мышцы глаза, которая сужает зрачок. Препарат оказывает расслабляющее действие на аккомодационные мышцы и может применяться для лечения спазма аккомодации.
Хотя «Атропин» до сих пор можно приобрести в аптеке, он считается устаревшим препаратом с большим количеством побочных эффектов и противопоказаний. Он расширяет зрачок на длительное время — до 10 дней, и в этот период у пациента снижается острота зрения, может возникать стойкий дискомфорт, повышается чувствительность к свету.
Более современный препарат, который действует аналогично «Атропину», но обладает меньшим количеством противопоказаний и щадяще воздействует на глаза — это «Мидриацил». Он широко используется в диагностике офтальмопатологий: позволяет выполнить осмотр глазного дна через расширенный зрачок или выявить «ложную близорукость». Также средство применяется в лечебных целях — оно оказывает расслабляющее действие на мышцы глаз, что помогает в лечении спазма аккомодации или ряда воспалительных заболеваний. Также «Мидриацил» может применяться для расширения зрачка перед лазерной коррекцией зрения и операциями на сетчатой оболочке. В отличие от «Атропина», данный препарат действует недолго — около трех часов, после чего функция зрения восстанавливается, и пациент не испытывает дискомфорта.
Основными противопоказаниями к применению данных капель являются глаукома и повышенная чувствительность к компонентам препарата.
«Цикломед»
Эти глазные капли расслабляющего действия часто применяются в современной офтальмологии. Они имеют ограниченное количество противопоказаний, минимум побочных эффектов и могут быть назначены даже детям с трех лет. «Цикломед» действует аналогично другим мидриатикам, расслабляя круговую и аккомодационные мышцы глаз. Его можно использовать для проведения диагностического осмотра, в комплексном лечении воспалительных патологий передней глазной камеры и для предоперационной подготовки.
«Ирифрин»
Эти расслабляющие глазные капли содержат в составе фенилэфрин. Препараты с разной концентрацией действующего вещества (2,5% и 10%) могут быть назначены детям или взрослым. Лекарство обладает кратковременным действием и обеспечивает расслабление глазных мышц и расширение зрачка на несколько часов. Если необходимо более продолжительное мидриатическое действие, препарат закапывают повторно. «Ирифрин» используется перед обследованиями глазного дна, тестом на глаукому, при подготовке к хирургическим манипуляциям, а также в лечении иридоциклита, «ложной близорукости» и некоторых других патологий и функциональных нарушений.
Помимо перечисленных препаратов, существует ряд других медикаментов, обладающих аналогичным действием.
Даже современные капли для расслабления глаз имеют перечень противопоказаний и могут вызывать нежелательные эффекты. Поэтому не стоит применять подобные препараты без назначения врача. В лучшем случае они просто окажутся неэффективными, в худшем могут привести к опасным последствиям для зрения и здоровья в целом.
Диагностика и лечение
Определить точную причину боли в глазах при движении позволит консультативный осмотр офтальмолога. На приеме у специалиста проводится физикальный осмотр и назначается комплексное обследование. Оно включает в себя лабораторную и аппаратную диагностику, которая состоит из:
- Общих анализов.
- Биохимии крови.
- Анализ на наличие грибковой инфекции слизистой глаза.
- Офтальмоскопии.
- Биомикроскопии сред глаза.
- Измерения давления внутри глаза.
- Определения границ поля зрения.
- УЗИ глазного яблока
- Конфокальной микроскопии
По результатам комплексной диагностики определяется этиология развития болевого синдрома в глазах при движении и подбирается соответствующие лечение.
При внезапном появлении незначительной боли допускается оказание первой помощи в домашних условиях. Для этого рекомендуется:
- Ограничить либо полностью исключить напряжение глаз.
- Сделать легкий массаж головы по направлению от висков к затылку, и от затылка ко лбу.
- Промассировать мышцы воротниковой зоны.
- Промыть глазные яблоки чайной заваркой либо легким раствором аптечной ромашки.
- При нарастании болевого синдрома допускается прием обезболивающих препаратов.
Если боли не прекращаются и повышается их интенсивность для их купирования применяются методы официальной медицины. Наиболее эффективно комплексное лечение включает в себя прием медикаментов, следующих групп:
- Обезболивающие.
- Спазмолитики.
- Антигипертензивные.
- Сосудорасширяющие.
- Антибактериальные.
- Противогрибковые.
- Противовоспалительные.
- Препараты для увлажнения слизистой.
- Иммуномодуляторы.
- Противовирусные.
- Витаминные комплексы для глаз.
- Диуретики.
- Антигистаминные.
- Нестероидные противовоспалительные средства.
При терапии болей в глазах любой этиологии преимущественно используются препараты местного применения. Также по назначению врача осуществляется прием лекарств общего воздействия.
В качестве вспомогательного лечения используются средства народной медицины. Наиболее результативными природными лекарствами являются настои и отвары на основе целебных трав.
- Отвар из листьев мяты. Используется для снятия повышенного тонуса мышц, снижения зрительного напряжения, стабилизации давления и восстановления психоэмоционального состояния, укрепляет защитные функции организма.
- Настой ромашки аптечной. Позволяет быстро избавиться от воспалительных процессов при местном применении, снижает яркость симптоматики, облегчает состояние при жжении и ощущении рези в глазах.
- Также эффективными являются компрессы и примочки из сока алоэ, меда и простокваши. В качестве капель используется сок корня одуванчика и зрелый мед. Кубики льда из бурых водорослей быстро снимают воспаление и резь в глазах.
Использование средств народной медицины должно быть только после согласования с лечащим врачом. Самолечение в данном случае, грозит ухудшением состояния здоровья не только глаз, но и хронический патологий в целом.
Лечение боли в глазах при движении назначается офтальмологом с учетом их этиологии. Подбор препаратов, схема их приема и длительность терапевтического курса производится в каждом случае индивидуально и зависит от физиологических показателей пациента.
Как проверить качество?
Как определить, что яйцо тухлое? Срок годности, к сожалению, некоторые недобросовестные потребители указывают недостоверно. Поэтому хозяйка должна научиться определять свежесть яйца «на глаз». Тогда можно будет избежать несварения желудка и других серьезных заболеваний, которые лечатся только в стационаре.
Протухшее и свежее отличаются по таким основным критериям:
- Трехдневный продукт не имеет неприятного запаха, в отличие от испорченного;
- Если потрясти свежее яйцо, шума внутри не будет;
- Содержимое протухло, если оно не тонет в емкости с водой;
- Раскрутите его – если долго не останавливается, значит, оно лежит уже давно.
Самый простой способ распознать тухлое яйцо – понюхать. Несвежее имеет характерный запах, который сложно перепутать с каким-либо другим. Еще один критерий – желток. Он не должен трястись или стучаться об стенки. Если поставить на просвет, то желток должен быть хорошо виден. На плоской поверхности тухлое будет крутиться долго – это еще один метод, который помогает определить свежесть.
Многие люди знают, как можно определить тухлое яйцо, положив его в воду. Этот способ основан на законах физики. Наберите в стакан две трети воды и поместите туда яйцо. Если оно «не старше» 3 дней, то сразу же утонет в воде. Яйца недельной давности останутся под наклоном, а тухлые будут плавать на поверхности.
Это объясняется тем, что они не герметичны. В поры, которые присутствуют на скорлупе, могут попадать микроорганизмы. Если уже начались гнилостные процессы, то будут выделяться газы, которые поднимают на поверхность.
Конечно, эти способы не всегда можно использовать в магазине. На качество продукта влияет не только вес, но и время, когда оно было снесено. Яйцам, которым еще не исполнилось трех дней, присваивают высший сорт. Продукт недельной давности относят к первому сорту, а трехнедельный – ко второму.
Диагностика
Выявлением причины симптома занимается врач-офтальмолог или терапевт, если неприятное чувство, когда режет глаза, стало последствием респираторного заболевания.
Диагноз ставится на основании:
- Беседы с пациентом и выявления наследственных факторов, существующих хронических болезней и дополнительных симптомах, которые могут казаться неявными.
- Осмотр обратившегося при помощи офтальмоскопа. Метод позволяет изучить состояние сосудов глазного дна, сетчатки, роговицы.
- Проверка зрения больного.
- Лабораторные исследования, в частности соскоб с поверхности конъюнктивы.
- Базовая проверка состояния здоровья: назначение на сдачу общих анализов крови, мочи. Измерение температуры и артериального давления.
Монотонная боль и жжение в глазу, за глазом, в орбите. Раздражение вегетативных узлов и нервов лица, отраженные боли в области глаз
Один из частых вариантов боли в глазах – это боль, отраженная из связанных с глазами нервных узлов и сплетений. Такая боль всегда имеет конкретный источник и обычно быстро проходит после устранения причины.
На что жалуются наши пациенты при таком варианте боли в глазах:
- Болят глаза и голова, лоб, тошнит при появлении головной боли;
- Больно смотреть, боль монотонная, ломящая, давящая или жгучая, нарастает при напряжении глаз, а также после сна;
- На лице, шее, в области виска, вокруг орбиты глаза можно нащупать одну или несколько болезненных точек, расположенных в мягких тканях, в т.ч. мышцах лица;
- Бывают жжение в глазах и боль при моргании без явных признаков воспаления;
- Может быть (не всегда) повышенная чувствительность при касании пальцами кожи лица, головы или шеи в некоторых зонах (орбитальная область, лоб, висок, носогубная складка, область шеи над грудино-ключичным суставом).
Несколько случаев отраженной боли в глазных яблоках из нашей практики

У мужчины, страдавшего постоянной жгучей и ломящей болью в правом глазу мы обнаружили выход крупного фрагмента пломбировочного материала за верхушку зуба (фрагменты белого цвета обозначены стрелкой). Боль появилась спустя 1,5 года после лечения у стоматолога и распространялась в область глаза по 2 ветви тройничного нерва. Зубная боль, как таковая, не наблюдалась. Боли прекратились после противовоспалительного лечения и адекватного стоматологического пособия.
Компьютерная томография
Болят глазные яблоки при движении. Такая ситуация у девушки была спровоцирована воспалением и полипом гайморовой пазухи, у границы пазухи с орбитой глаза. 1 – орбита левого глаза (вид спереди). 2 – полип гайморовой пазухи. Воздух в пазухах носа на КТ выглядит черным. Лечение инфекции и аллергического насморка (аллергия на плесневые грибы) помогло устранить боль в глазу.
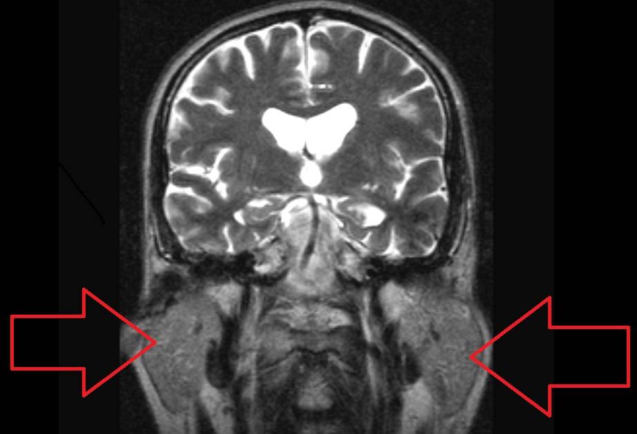
Выраженное воспаление и припухлость слюнных желез у мужчины провоцировало головную боль в области лба и глаз, жжение и зуд в глазах. Болезнь Шегрена не была подтверждена. Улучшение наступило после лечения воспалительного процесса слюнных желез. На МР-томограмах видны увеличенные слюнные железы.
Профилактика – как предотвратить покраснение и раздражение
Практикующие врачи-офтальмологи подготовили перечень рекомендаций для поддержания зрительного здоровья:
- После каждого часа интенсивной нагрузки нужно давать пятиминутный отдых органам зрения. Для этого достаточно выйти и пройтись по улице или прикрыть веки, а затем покрутить глазными яблоками.
- Чтобы слизистая не травмировалась от чрезмерной сухости, в помещениях на работе и в квартире необходимо чаще проветривать и проводить влажную уборку.
- Для снятия глазного мышечного тонуса помогает частое моргание. Этот процесс запускает выработку естественной слезы, тем самым обеспечивая глазам увлажнение.
- Гимнастика для органов зрения позволяет снять раздражение и дискомфорт за счет специальных упражнений.
- Прогулки на свежем воздухе, полноценный сон, сбалансированное питание, отказ от алкоголя и курения – очевидные, но важные рекомендации.
- В случае необходимости использовать капли для снятия покраснения глаз, например увлажняющие растворы Гилан.
Правила применения
- Принимать средство строго по назначению врача.
- Если назначено несколько разных капель, то между закапыванием нужно делать небольшой перерыв.
- Соблюдать сроки годности.
- Перед закапыванием вымыть руки с мылом.
- Нагреть упаковку средства в руках или в стакане теплой воды до комнатной температуры.
- Запрокинуть голову назад и указательным пальцем одной руки оттянуть нижнее веко вниз
- Закапайте 1-2 капли раствора в каждый конъюнктивальный мешок.
- После процедуры можно зажмуриться или поморгать, чтобы средство равномерно распределилось по всей поверхности слизистой.
- Хранить растворы в холодильнике или так как прописано в инструкции.
Современные офтальмологические средства, в числе которых увлажняющий раствор Гилан с гиалуроновой кислотой, выпускаются в удобных тюбик-капельницах или в юнидозах на одно применение. Преимущество такой формы выпуска:
- Доза, содержащаяся в тюбик-капельнице, достаточна для одной процедуры закапывания.
- Не нужно переживать о хранении открытой упаковки.
Противопоказания, побочные эффекты

Действующее вещество, входящее в глазные капли от покраснения глаз, напрямую определяет перечень возможных противопоказаний. Для большинства рецептурных лекарственных составов они следующие:
- конкретные заболевания например, бронхиальная астма или сердечная недостаточность;
- чувствительность к определенным компонентам препарата;
- восстановительный этап после операций на органах зрения;
- беременность, период лактации;
- детский возраст.
Увлажняющие капли от красных склер, например, средство Гилан с гиалуроновой кислотой фактически не имеют противопоказаний и допустимы к приему женщинами во время беременности, а также после хирургического вмешательства.
Когда можно выбирать капли самому
Если нет подозрения на серьезную патологию, а дискомфорт беспокоит лишь изредка, можно применить привычные капли при покраснении из группы увлажняющих, имитирующих натуральную слезу препаратов. Обычно такие лекарственные средства отпускаются без рецепта, и доступная цена не становится препятствием для покупки. Если тревожный симптом долго не проходит, это повод для записи к окулисту. Чем раньше диагностировать заболевание, тем выше вероятность избежать тяжелых последствий и сохранить зрение.
Чешутся ли глаза при заражении SARS-CoV-2?
Глазной зуд – это не типичный симптом ковида, но он присутствует в клинической картине у многих пациентов. Чешутся и краснеют глаза при коронавирусе, если инфекция попала непосредственно на слизистую оболочку. Отеки, зуд, покраснение глаз при ковиде иногда являются результатом аллергических реакций, травм, аутоиммунных процессов, которые протекают параллельно с инфекцией.
Но сильный зуд, воспаление сосудов, жжение, сухость далеко не всегда является следствием коронавирусной инфекции. Такие симптомы появляются при некоторых офтальмологических заболеваниях:
- Синдром «сухого глаза» (ксерофтальмия). Продолжительное покраснение глазного белка может возникнуть из-за нарушения продукции слезной жидкости. Когда слезные железы вырабатывают мало секрета, роговица и конъюнктива пересыхает, раздражается. Чаще всего ксерофтальмия развивается при постоянном приеме некоторых препаратов, гормональных изменениях в организме, систематическом переутомлении органа зрения, длительной работе за компьютером.
- Ячмень. Острое гнойное воспаление сальной железы или волосяного фолликула ресницы сопровождается покраснением, зудом, точечной болью, отечностью века.
- Блефарит. Воспаление век, которое сопровождается ощущением сухости, инородного тела, а также обильным слезотечением. Блефарит можно также распознать по выраженному покраснению век.
- Вирусные, бактериальные конъюнктивиты, не связанные с COVID-19. Главное отличие заболевания – это обильное выделение желтоватой слизи, слипание век по утрам.
- Эписклерит. Заболевание, для которого характерно воспалительное поражение тканей, находящихся между склерой и конъюнктивой. Проявляется в виде локального или диффузного покраснения глаз, иногда на поверхности глазного яблока образуются узелки, окруженные воспаленными сосудами.
Примечательно, что перечисленные состояния развиваются без температуры, могут поражать только один глаз. Для коронавируса не типично такое поведение. Обычно инфекция затрагивает два глаза и часто это сопровождается повышением температуры тела.

























































