Разновидности липом
Кроме обычной подкожной формы липомы, существует множество других разновидностей этой патологии. Среди них:
- периневральные липомы (расположенные возле нервных стволов, вызывают болевые ощущения и тяжело удаляются);
- люмбосакральные липомы (возникают возле позвонков или в спинномозговом канале, нередко сочетаются с пороками спинного мозга и позвоночника);
- липомы мозолистого тела в головном мозге (редкие врожденные патологии, которые могут протекать бессимптомно);
- липомы в участке грудных желез (встречаются редко, однако могут достигать крупных размеров, деформируя грудную железу);
- ангиолипомы (болезненные подкожные узелки с сосудистой структурой, которые в остальном схожи с обычными липомами);
- межмышечные липомы (опухоли, прорастающие сквозь мышечную ткань и рецидивирующие в ситуациях неполного удаления, составляют менее 1% всех липом );
- аденолипомы (разновидность липомы с элементами структур потовых желез);
- липомы печени (редкое новообразования, которые могут достигать значительных размеров, например в 1994 г. в Турции был зарегистрирован случай печеночной липомы размером 21 x 15 x 18 см );
- липомы влагалища, половых губ, кишечника.
Симптомы и признаки липом
Липомы растут очень медленно и обычно не вызывают никаких симптомов, кроме уплотнения в виде “шишки” или “шарика” под кожей. Внутренние липомы также обычно ничем себя не проявляют, т.е. бессимптомны.
Липома молочной железы
Липома в молочной железе обычно возникает у женщин после наступления менопаузы. Как правило, это образование размером до 1 см, весом до нескольких граммов. Липому молочной железы размером более 5 см и весом более 500 г называют гигантской.
Основные признаки липомы молочной железы:
- безболезненность
- мягкость на ощупь
- возможность смещения под кожей. Т.е. она не спаяна плотно с окружающими тканями и не изменяет внешний вид кожи над ней.
Так как липомы часто располагаются в толще железы и не имеют никаких симптомов, то их нередко обнаруживают случайно, во время плановой маммографии или УЗИ.
Липома молочной железы не повышает риск рака молочной железы и очень редко трансформируется в злокачественную опухоль.
Липома молочной железы. Фото: Nevit Dilmen / (Creative Commons Attribution-Share Alike 3.0 Unported license)
Липома головного и спинного мозга
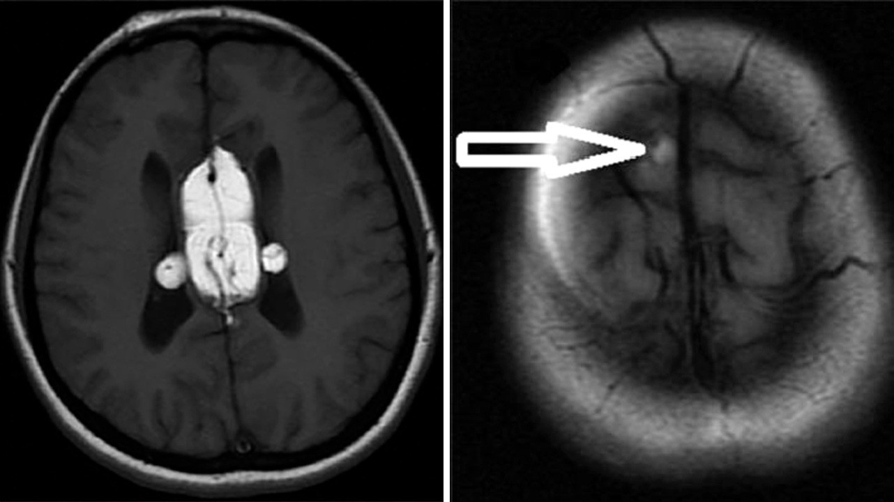
Липомы головного мозга также выявляют случайно, когда у пациентов старшей возрастной группы проводят МРТ или КТ мозга по каким-то другим причинам, например, при нарушении когнитивных функций, эпилепсии. Липомы могут быть обнаружены в любом отделе мозга, тем не менее 50% – это перикалозальные липомы, в свою очередь 45% которых ассоциированы с агенезией мозолистого тела. 25% составляют липомы квадригименальной цистерны и 15% – липомы супраселлярной цистерны. Так как липомы мозга не имеют симптомов, хоть и часто сочетаются с какими-то пороками, например, агенезией мозолистого тела, то и лечения они не требуют. Хирургическое лечение сопряжено с большим риском осложнений и не имеет никаких преимуществ. Если возникают гидроцефалия или судорожный синдром, то лечение проводят по общим правилам.
Липома мозолистого тела головного мозга. Фото: Journal of neurosciences in rural practice / Open-i (Attribution-NonCommercial-ShareAlike 3.0 Unported)
Липома у детей
Липомы позвоночника составляют 35% всех новообразований спинного мозга, чаще встречаются у девочек.
Липома спинного мозга подразделяется на несколько клинических вариантов:
- липомиеломенингоцеле. Это врожденная патология, при которой жировые образования расположены вдоль позвоночника и проникают внутрь спинномозгового канала, соединяясь со спинным мозгом. Эта липома внешне выглядит как объемное образование внизу позвоночника. У ⅓ пациентов образование проявляет себя нарушениями мочеиспускания. Реже пациентов беспокоит искривление стоп, боль в спине. Лечение хирургическое.
- липома терминальной нити, при которой жировая ткань расположена в конечной нити спинного мозга. Иногда это состояние рассматривают как синдром натяжения концевой нити. Это редкое заболевание, которое эффективно лечат хирургической операцией, менее опасной, чем в предыдущем случае.
- липома спинного мозга (интрадуральная) встречается редко и составляет 4% от всех липом. Чаще ее выявляют в грудном отделе позвоночника у детей, патологии костей или кожи при ней не бывает. Если вырастает до больших размеров, то проявляет себя симптомами сдавления спинного мозга. Это одно из самых малоизученных новообразований.
Липома у взрослых
Кроме обычных подкожных липом, в зрелом возрасте могут быть:
- Эпидуральный липоматоз, который возникает при избыточном синтезе жира в эпидуральном пространстве, то есть между позвонками и твердой оболочкой спинного мозга. Это нередкое осложнение при синдроме Кушинга, тяжелом ожирении, приеме глюкокортикостероидов. Дебютирует патология синдромом “конского хвоста”, лечат его отменой стероидов или снижением веса.
- Ангиомиолипома, состоящая из аномально разросшихся сосудов и жировой ткани. Чаще всего ее обнаруживают в поясничном или грудном отделах позвоночника. Как правило, возникает в теле одного позвонка и может проявляться болью в спине, так как уменьшает высоту позвонка и приводит к сдавливанию нервных корешков. Образование обычно выявляют случайно у людей в возрасте 30-40 лет. При сильной компрессии, т.е. при сдавливании нервных структур, проводят лечение – пункционную вертебропластику (“цементирование” позвонка). Иногда ангиомиолипому обнаруживают в почке. При небольших размерах (до 1,0-1,5 см) лечения не требует, за образованием наблюдают, периодически выполняя ультразвуковое исследование.
Как предупредить образование жировиков?
Причины появления липом до конца не выяснены, но существуют эффективные профилактические меры, значительно уменьшающие риск появления доброкачественных жировых опухолей в любых частях тела.
Основной задачей в предупреждении образования липом выступает поддержание нормального метаболизма за счет коррекции рациона. Рекомендуется:
- Отказаться от употребления жирных, острых, жареных продуктов.
- Исключить из рациона содержащие консерванты, канцерогены продукты.
- Уменьшить употребление мучных продуктов, отдав предпочтение цельнозерновому хлебу и макаронным изделиям.
- Увеличить количество фруктов, овощей в рационе.
Кроме изменения рациона важно соблюдение личной гигиены и регулярное прохождение медицинских осмотров. Особое место в предупреждении образования жировиков занимает нормальное функционирование пищеварительного тракта и эндокринной системы, поэтому их надо обследовать особенно тщательно
Если липома всё же образовалась и начала болеть, нужно как можно быстрее обратиться за врачебной помощью. Только специалист способен найти и устранить причины воспаления, а также исключить риск злокачественного перерождения.
Врачи «Клиники пластической косметической хирургии» в Полтаве быстро удалят вызывающий беспокойство жировик хирургическим способом и вернут здоровье вашему телу!
Начнем с главного – что это?
- Гигрома – киста с плотной соединительной тканью в капсуле и серозным желеобразным содержимым внутри. Чаще возникает на запястьях и кистях, не болит, но выступает эстетическим дефектом. Выглядит, как горошинка или вишенка под кожей.
- Липома – доброкачественная опухоль жировой ткани, которую часто называют жировик. Появляется в толще подкожно-жировой клетчатки в любой части тела (в том числе и в молочных железах). Внешне – это небольшое подвижное новообразование округлой формы, реже – на «ножке»
- Атерома – киста сальной железы. Выглядит как мешочек, закупоренный кожным салом. Преимущественно появляется на волосистой части головы, мочках ушей, спине. В отличие от липомы и фибромы, на которые похожа внешне, атерома имеет отверстие протока сальной железы, через которое можно выдавить содержимое. Безболезненна.
- Фиброма – напоминает выпуклую родинку без цвета (иногда на ножке). Состоит из зрелых клеток эпителия.
Интересно! Гигромы часто могут быть профессиональным заболеванием у пианистов, прачек. У женщин появляются в 3 раза чаще, чем у мужчин.
Народные рецепты удаления жировиков
Народная медицина предлагает массу рецептов для того, чтобы избавиться от жировика без хирургического вмешательства. Но перед тем как использовать народные средства, лучше посоветоваться с врачом, потому как некоторые компоненты рецептов могут вызвать сильную аллергию. Из самых распространенных рецептов можно выделить следующие:
- отрезать листочек каланхоэ, разрезать его и прикладывать к жировику, фиксируя пластырем, 5-7 раз в день в течение 6 дней;
- на область жировика нанести красную глину, предварительно смешанную со щепоткой соли и небольшим количеством воды, делать примочки 4 раза в день 5 дней;
- хорошо помогают растирания бараньим жиром, его нужно втирать в жировик в течение 10-12 минут, повторять процедуру 8-9 дней несколько раз в день;
- запеченная луковица измельчается и смешивается с натертым на терке хозяйственным мылом, прикладывается к жировику на ночь в виде примочки, фиксируется пластырем (применять до полного исчезновения);
- сок жерухи (1 ч. л.) смешивается с 10 г сливочного масла, втирать состав 5-6 раз в день 6-7 дней;
- в равных количествах смешивается мед, сметану (жирная), соль, примочки на жировик ставятся 3 раза в день в течение недели.
У многих людей на кухонном окне растет настоящий «доктор» – растение алоэ. Оно является «палочкой-выручалочкой» для многих кожных воспалительных процессов. Растение обладает сильнейшими антиоксидантными и противовоспалительными свойствами. Срезав листок, его помещают в морозилку на 10-15 часов, затем отрезают небольшой кусочек, прикладывают на жировик таким образом, чтобы сок прилегал к коже. Достаточно 10-12 процедур и липома исчезнет навсегда. Прикладывать листок алоэ необходимо не менее, чем 5 раз в сутки.
Народные целители уверяют, что избавиться от жировика без хирургического вмешательства поможет оливковое масло в сочетании с водкой. Для того чтобы сделать такой компресс понадобится 0,5 ч. л. масла и 1 ч. л. водки.
Может помочь удалить без операции навсегда жировик обычный чеснок. Его нужно измельчит в блендере и соединить с 1 ч. л. растительного масла. Делать примочки на жировики 4 раза в сутки в течение 5 дней.
Еще одно народное средство от липом можно сделать из чеснока, жгучего красного перца, свиного сала. Компоненты смешиваются в равных количествах, хорошо перемешиваются до получения однородной массы. Состав накладывается на ватный диск и прикладывается на область, где возникло новообразование. Смесь получается сильно концентрированной, поэтому перед нанесением нужно обязательно обработать кожу вокруг жировика питательным кремом.
Одно из эффективных народных средств для удаления липомы – это прополис. Практически всем людям известны его чудодейственные свойства.
Для удаления жировика понадобится спиртовый раствор, который можно втирать в область, где расположена липома или прикладывать компрессы. Процедуру повторять через каждые 2-3 часа в течение недели. Обычно после таких манипуляций жировики исчезают на 8-9 день.
Хирургический метод лечения липом на лице
Вылечить липому, в данном случае, означает удалить её оперативным путем под местной или общей анестезией. Подобное вмешательство можно доверить только специалисту, и ни в коем случае не делать этого самостоятельно в домашних условиях. Во-первых, есть риск занести инфекцию и воспаление, для которого потребуется отдельное лечение. Во-вторых, вызвать осложнение и повторное возникновение множественных липом. Несмотря на кажущуюся простоту удаления этой доброкачественной опухоли на лице, она обязательно должна проводиться в стерильных условиях медицинского центра с использованием специальных методов.
Хирургический метод применяется в тех случаях, когда размер опухоли превышает 3 см. Впрочем, не только большой размер жировка является прямым показанием для проведения операции, поскольку он может увеличиваться в размерах и начать причинять ощутимую боль, например, сдавливая нерв. Операция проводится с применением местной анестезии и заключается в полном удалении опухоли.
перативное вмешательство — радикальная терапия, которая проводится в следующих случаях:
- серьезный косметический дефект;
- большие размеры;
- нарушение функций соседних органов из-за сдавливания их разросшейся опухолью;
- быстрый рост липомы.
Для удаления жировиков этот метод применяется редко, поскольку после операции остаются небольшие заметные шрамы. Тем более, что существуют множество малоинвазивных способов удаления этих опухолей. Именно о них и пойдет речь далее.
Современная медицина позволяет проводить удаление липом под контролем специального аппарата — эндоскопа, позволяющего полностью отслеживать ход операции. При этом на лице пациента не остается никаких признаков проведенной операции. Эндоскоп вводят в жировик, сделав на нем небольшой разрез. Затем сам жировик извлекают из-под кожи с помощью специального инструмента. Если это возможно, разрез делается не на самом жировике, а на ближайшем менее заметном участке лица — под волосами или на кожной складке. После проведения операции пациент в течение двух недель находится под наблюдением врача.
Для удаления липомы также может применяться пункционно-аспирационный метод, заключающийся во введении в новообразование специальной иглы и последующем удалении его содержимого. Наложение швов при этом не требуется, через несколько часов после проведения операции пациент может вернуться домой. Основным минусом данного метода является то, что он не гарантирует полного избавления от опухоли. Рецидив возможен потому, что после проведения процедуры под кожей лица может остаться некоторое количество содержимого жировика. Успешность операции всецело зависит от квалификации и мастерства специалиста.
Удаление липомы: как избавиться от жировика?
Если липома большая, находится на видном месте, а также если она причиняет неудобство, например, давит на мышцы или нервное сплетение, вызывая боль, ее нужно лечить. Единственным эффективным способом лечения липомы (жировика) является хирургическая операция. Самостоятельно избавиться от липомы, пытаясь её выдавить — бесполезно. Кроме того, такие попытки могут привести к инфицированию и нагноению образования.
Удалить липому небольшого размера можно в амбулаторных условиях — без госпитализации в больницу. В этом случае применяется местная анестезия (обезболивание). Операция длится 15-20 минут, и можно уйти домой практически сразу после её окончания.
Если в результате диагностики выясняется, что опухоль имеет большие размеры, расположена в труднодоступном месте или глубоко проникает в мягкие ткани и внутренние органы, для лечения липомы потребуется лечь в больницу на несколько дней. В сложных случаях операцию по удалению жировика проводят под наркозом (общей анестезией).
Чаще всего удаление жировика производят с помощью простого хирургического надреза кожи над опухолью и вылущивания её из окружающих тканей. Операция заканчивается ушиванием раны. После лечения на коже остается рубчик.
Лучшие косметические результаты дает эндоскопическое удаление липомы. В этом случае точечный надрез делают не над жировиком, а на отдалении от опухоли, маскируя его в естественных складках кожи, в подмышках, на волосистой части головы и др. Через надрез к липоме проводят тонкие микрохирургические инструменты и эндоскоп, с помощью которого хирург визуально контролирует свою работу.
Еще одним щадящим методом является липосакция липомы. В этом случае жировую ткань из опухоли отсасывают через широкую иглу, введенную под кожу. Однако после таких операций липома может со временем появиться вновь.
Плюсы и минусы лазерного удаления
Удаление липомы лазером — метод, отличающийся высокой востребованностью, несмотря на довольно высокую стоимость процедуры. Причина этого в том, что лазерное удаление обладает внушительным перечнем неоспоримых достоинств по сравнению с другими методами борьбы с жировиками. Перечислим лишь основные из них.
- Благодаря возможности максимально точно настроить оборудование, исключены лишние повреждения расположенных рядом с липомой тканей.
- Лазер сам коагулирует кровеносные сосуды, поэтому операция проходит фактически бескровно.
- Возможность развития послеоперационных осложнений практически исключена, поскольку лазерный луч обладает бактерицидным эффектом, дезинфицируя операционное поле.
- Бесконтактность метода исключает возможность инфицирования раны патогенными организмами во время операционного вмешательства.
- После операции не остается неэстетичных рубцов.
- Во время операции опухоль не разрушается полностью, вследствие чего можно провести гистологический анализ.
- Количество рецидивов при лазерном удалении ничтожно мало, поскольку этот метод позволяет извлечь липому вместе с капсулой.
- После вмешательства пациент полностью восстанавливается за одну-две недели.
Однако, как любое операционное вмешательство, лазерное удаление липомы обладает также некоторыми негативными характеристиками. В том случае, если опухоль очень большого размера, луч лазера может случайно затронуть находящиеся рядом сосуды и нервы. Если же опухоль совсем крошечная, то лазер просто разрушает ее, не оставляя материала для гистологического анализа.
Лазерное удаление не используется, если жировик расположен очень глубоко в тканях. В этом случае эффективным будет только традиционное хирургическое иссечение.
Наконец, немалое значение имеет финансовый аспект. Лазерное удаление — операция в высшей степени дорогостоящая, поэтому позволить ее себе может далеко не каждый.
Как лечить липому?
Лечение липомы подразумевает удаление всего новообразования вместе с капсулой. Поскольку это процесс опухолевый, то самолечение недопустимо ни в каком виде.
- Во-первых, пациент, не обладающий специальными знаниями, не может точно определить, что именно представляет собой новообразование на теле.
- Во-вторых, никаких нехирургических методов для борьбы с этой опухолью пока не придумали, поэтому при обнаружении у себя подозрительного образования лучше сразу отправиться к врачу.
Показаниями к удалению липомы могут стать:
- Болезненность, сдавление сосудов и нервов в месте локализации опухоли;
- Появление признаков воспаления в зоне роста новообразования;
- Быстрый рост;
- Косметический дефект;
- Нарушение функции окружающих тканей или органов;
- Желание пациента.
Выбор метода обезболивания и способа удаления липомы определяется ее локализацией, размерами, состоянием пациента. При небольших поверхностных образованиях предпочтение отдается местной анестезии, но в случае расположения опухоли внутри организма без общего наркоза не обойтись.
На сегодняшний день самыми распространенными способами лечения липом считаются:
- Лазер. Без этого способа воздействия на патологически измененные ткани современную медицину трудно себе представить, и онкология – не исключение. Благодаря прицельному действию лазерного луча на ткань опухоли происходит ее удаление, в то время как окружающие клетки остаются незатронутыми. После лазерного удаления не остается рубцов, заживление происходит быстро, а рецидивы крайне редки. Лазерная терапия считается методом выбора при небольших поверхностно расположенных липомах.
- Пункционно-аспирационное удаление липомы. Подразумевает отсасывание ее содержимого с помощью толстой иглы. Пациент может отправиться домой уже через 15-20 минут после манипуляции. Капсулу опухоли, особенно хорошо выраженную, при этом не всегда удается удалить, поэтому риск рецидива довольно высок, а эффективность зависит от умения и квалификации хирурга. Метод не требует наложения швов и имеет хороший косметический результат.
- Удаление опухоли с помощью скальпеля. Такой подход оправдан при больших размерах новообразования, расположении в тканях, недоступных для физических способов воздействия на клетки. Врач выбирает адекватный метод обезболивания в соответствии с расположением опухоли и состоянием пациента. В большинстве случаев, удаление липомы может быть проведено амбулаторно, но при крупных опухолях и, особенно, растущих внутри тела, больному будет предложена госпитализация.
- Радиоволновое лечение. Оно малотравматично, не оставляет следов на теле, а клетки опухоли гибнут благодаря нагреванию. Метод требует проведения местной анестезии, полное заживление занимает несколько дней. Поскольку разрез тканей не производится, то нет необходимости в наложении швов, а, значит, и рубца не будет. Радионож удаляет опухоль целиком, вместе с капсулой, что позволяет до минимума снизить риск рецидивирования. Радиоволновое лечение практически не вызывает осложнений, но применяется обычно при небольших размерах опухоли.
Осложнения при удалении липом возникают редко и чаще всего связаны с инфицированием послеоперационной раны или появлением гематомы, хотя возможно формирование келоидного рубца, рецидив опухоли. Обычно послеоперационный период протекает хорошо, а при применении щадящих методик больной сразу может отправиться домой.
Профилактика
Снизить риск возникновения жировиков можно, если придерживаться некоторых моментов:
- отказ от пагубных привычек;
- соблюдение здорового питания;
- регулярное соблюдение гигиены;
- применение исключительно качественных косметических средств;
- периодические осмотры у дерматолога.
Если меры предосторожности все же оказались недостаточными и образовались жировики, необходимо обратиться за профессиональной помощью к специалисту. Самостоятельно прокалывать или выдавливать липомы нельзя, поскольку это может привести к заражению крови (из-за попадания инфекции), возникновению шрамов и др
Только врач может установить характер опухоли и при необходимости назначить лечение.
Как удалить атерому?
Чтобы удалить атерому навсегда, важно не просто убрать скопившееся в ней кожное сало, но и удалить капсулу атеромы, в которой накапливается содержимое. Лучше обратиться к хирургу: так как это подкожное образование, необходимо именно хирургическое удаление образования вместе с оболочкой, а не простой прокол кожи
А еще важно, чтобы на месте удаленной атеромы не осталось шрама и некрасивой впадины на коже.
Существуют разные способы удаления атером:
- классическое с помощью скальпеля и с наложением косметического шва при большом размере образования;
- радиоволновое волнами высокой частоты;
- лазерное.
При наличии воспаления в кисте вначале принимаются меры для его купирования, только потом можно удалять атерому. Какой именно метод применить, решает врач индивидуально — каждый из вариантов имеет свои преимущества и ограничения к применению.
Лучший способ профилактики атером — обращение к врачу-дерматовенерологу для подбора подходящей косметики и своевременного лечения кожных проблем и новообразований на коже.
Кстати, для подписчиков нашего телеграмм-канала «Evolutis: Для своих» обследования и лечение у компетентных врачей в частной клинике Москвы — совсем недорого. Для своей аудитории мы еженедельно проводим уникальные акции со скидкой до 70%. Это наша благодарность за то, что вы с нами и читаете наши публикации. До встречи в Evolutis clinic!
Гемангиома — чем опасна и как лечить
Evolutis Clinic24 ноября 2022
Метаплазия тканей желудка — главное о заболевании, которое опасно раком желудка
Evolutis Clinic16 ноября 2022
Виды УЗИ, которые нужно делать ежегодно
Evolutis Clinic5 ноября 2022
Диагностика липом
Липому под кожей легко диагностируют при осмотре и прощупывании.
Липомы внутри организма выявляют с помощью:
- УЗИ
- МРТ
- рентгенографии.
В неясных случаях проводят биопсию, при которой небольшое количество ткани исследуют под микроскопом.
К какому врачу обратиться?
Так как липома может вырасти в любом месте организма, то её диагностируют и лечат врачи разных специальностей. Это зависит от места расположения образования. Липомами на коже занимаются хирург и дерматолог, липомами в области молочной железы – маммолог, липомами мозга или позвоночника – нейрохирург.
В чем отличие атеромы от липомы?
Липома представляет собой образование из жировой ткани, тогда как атерома – это скопление секрета сальной железы из-за закупорки ее протока. Соответственно, атерома не может возникнуть там, где нет сальных желез, т.е. в легких, мозге, брюшной полости, семенном канатике и т.д. Атерома чаще растет на волосистой части головы, имеет тенденцию к воспалению и нагноению, располагается более поверхностно. При воспалении атеромы она увеличивается в размерах, возникает покраснение, чего не бывает при липоме. Для того, чтобы выяснить, что имеется у пациента – атерома или липома – проводят УЗИ.
ФАКТЫ О ЛИПОМАХ
- Липомы образуются в бедных жировой тканью местах (на шее, суставных поверхностях).
- Ожирение и лишний вес не являются обязательными условиями развития липом.
- Липомы образуются не только в коже, но и во внутренних органах, точнее, их жировой прослойке. Множественный липоматоз носит название болезнь Деркума.
- Часто липомы симметричные (болезнь Маделунга).
- Процент перерождения липом в рак ничтожно мал.
- Старт к образованию липомы – дефект белков-регуляторов клеточного деления.
- Диета и народные средства не помогают при липоме.
- Опухоль из жировой ткани может быть разных размеров, от горошины до десятков сантиметров, даже при общем истощении липомы достигают гигантских размеров.

Опухоль из жировых клеток мягкая, эластичная наощупь, не спаяна с окружающими тканями, но в ней есть соединительнотканые перемычки, отчего липомы похожи на мандарин. Часто сами пациенты ставят себе диагноз “жировик”! Хотя более правильно называть “жировиком” атеромы.
НЕКРАСИВО РАВНО ОПАСНО?
Кроме эстетического недостатка, липома представляет собой проблему в отношении других органов, ведь она давит на нервы и сосуды, вызывая нарушение кровообращения и чувствительности. Надежный способ избавиться от липомы – только хирургическое вмешательство! Однако по сравнению со скальпелем есть более прогрессивные методики, например, лазер.
Способы удаления липомы на лице
Косметологи могут предложить несколько методов избавления от жировиков:
1. Механический. Этот способ заключается в том, что новообразование прокалывается или в его верхней части выполняется небольшой разрез. Через полученное отверстие врач аккуратно извлекает капсулу с жировыми клетками, после чего область вмешательства дезинфицируется и обрабатывается заживляющими составами.
Достоинством метода является полное удаление новообразования. К недостаткам можно отнести болезненность, для снижения которой приходится использовать местную анестезию. Также недостатком механического удаления считается то, что на месте разреза может образоваться шрам, а при особой структуре кожи – даже коллоидный рубец.
2. Электрокоагуляция. Такая методика связана с обработкой новообразования электрическим током. Под его действием клетки жировой ткани коагулируются, и новообразование удаляется без разрезов. Тем не менее, этот способ также сопровождается болезненными ощущениями и требует обкалывания жировика обезболивающим. При неправильно подобранной силе тока или длительности воздействия может образовываться шрам.
Химический пилинг.
Наряду с этими, косметологи используют и другие методики удаления липомы на лице. Но ни одна из них не помогает добиться отличного результата без побочных эффектов и дискомфорта для пациента. Единственным по-настоящему действенным и безопасным способом на сегодняшний день стало удаление липом лазером. Используя современные лазерные установки, врачи быстро и безболезненно устраняют новообразования, не доставляя пациентам существенного дискомфорта.
Как выполняется удаление липомы на лице лазером?
Перед воздействием на новообразование лазерного луча область вмешательства местно обезболивается анестетиком. При этом пациент остается в сознании и полностью контролирует свое состояние. Далее кожа в области уплотнения рассекается лазерным ножом и разводится в стороны специальным хирургическим инструментом. После того, как доступ открыт, врач захватывает капсулу с содержимым с помощью зажима и аккуратно подтягивает ее вверх. После этого проводится так называемое вылущивание опухоли: лазерным инструментом она отсекается от окружающих тканей и извлекается наружу.
Длительность процедуры составляет не более часа и зависит от локализации и размеров жировика. На месте опухоли остается небольшой бескровный разрез, который в большинстве случаев не требует наложения шва. На рану накладывается повязка с заживляющим составом, после чего пациент может вести привычный способ жизни.

Преимущества удаления липом на лице лазером:
- Бескровность. В процессе выполнения разреза и при иссечении внутренних тканей луч лазера мгновенно коагулирует сосуды. Поэтому операционное поле остается сухим, а сам пациент не страдает от кровопотери и не ощущает психологического дискомфорта от вида крови.
- Бесконтактность. Все манипуляции, в которых используется лазерное оборудование, проводятся бесконтактным методом. Это помогает снизить риск инфицирования или травмирования раны.
- Отсутствие риска рецидива. Если в ходе удаления новообразования в тканях останутся расположенные к делению клетки, опухоль может возникнуть вновь. Частым побочным эффектом хирургического и других методов является множественная липома, когда на месте одного уплотнения образуется сразу несколько. В случае лазерной деструкции капсула с жировым содержимым разрушается полностью и вероятность рецидива мизерна.

Как и многие другие косметологические процедуры, удаление липомы на лице лазером имеет противопоказания. Так, его не проводят при обострении герпетических инфекций, при инфекционных и воспалительных заболеваниях кожи, в период беременности и лактации, а также при нарушении свертываемости крови и сахарном диабете. Перед процедурой рекомендуется пройти обследование и проконсультироваться с врачом.





































